Caso S.A.
Caso: 11 años, caninos ectópicos con falta de espacio para las piezas dentarias.. Solución Ortodoncia correctiva.
Caso R.A. paciente 13 años, femenino
Asimetría esqueletal y planos oclusales canteados producto de una hiperplasia del cóndilo del lado derecho. Tratamiento ortodóncico quirúrgico. Caso corregido.
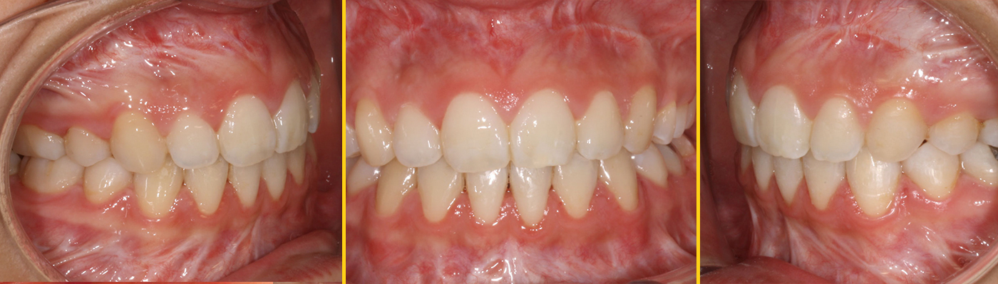
Caso M.A. 8 años
Incisivos protruídos , falta de espacio, las líneas medias no coinciden . Tratamiento con Ortodoncia. Caso Corregido.
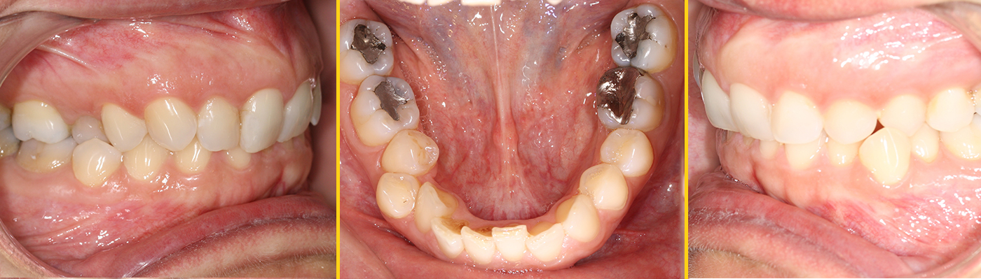
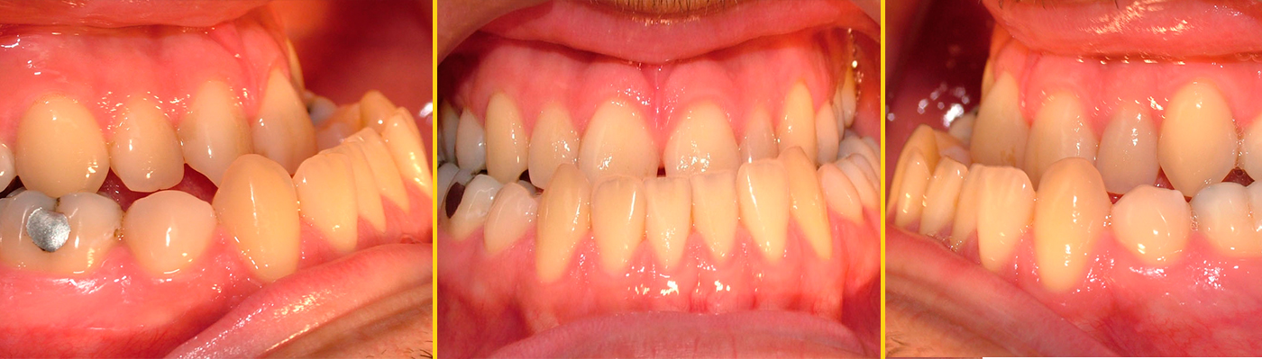
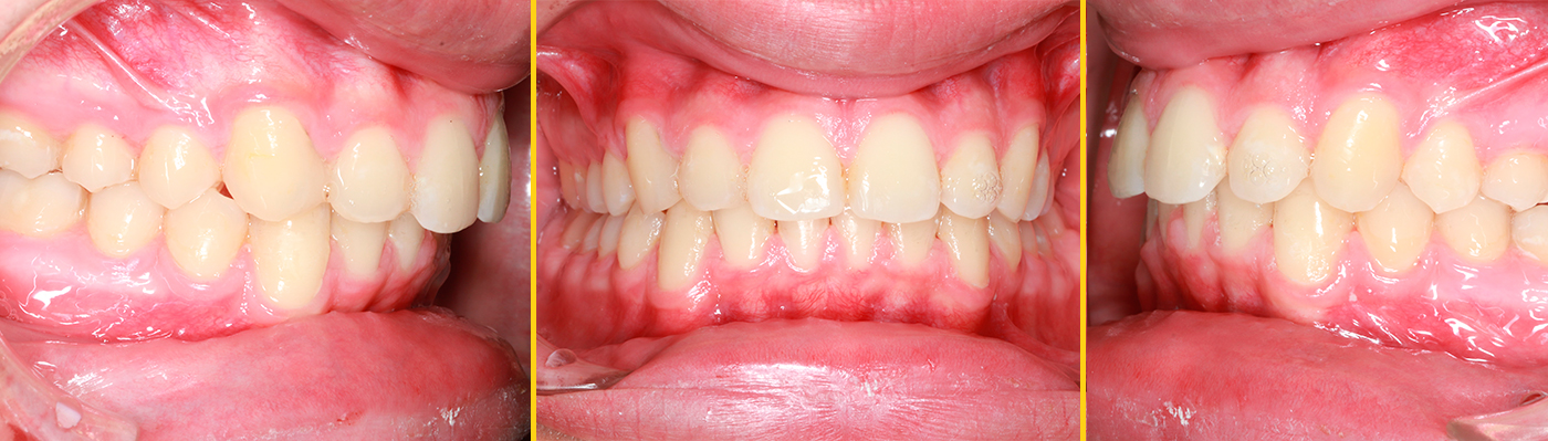
Caso M.L.A. 28 años
Caso: Sobreoclusión con apiñamiento inferior, falta de espacio para ubicar un premolar,fue tratado con microtornillo para hacer espacios y ordenar los arcos dentarios. Caso Corregido.
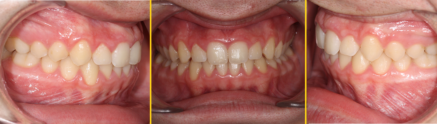
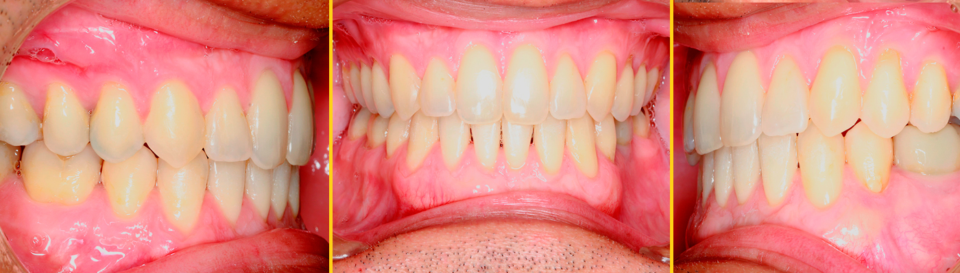
Caso L.M., varón 26 años
Caso: Clase III con gran inversión oclusal. Tratamiento con Ortodoncia y cirugía. Caso Corregido.
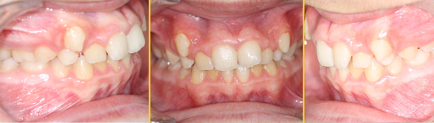
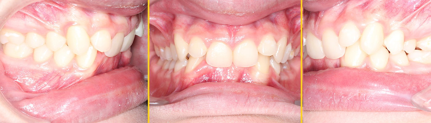
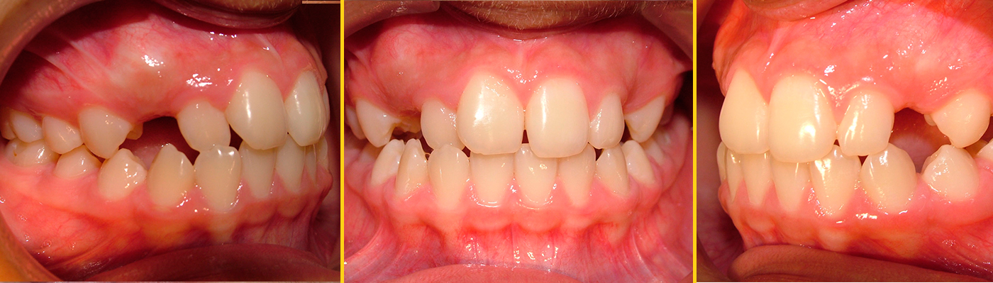
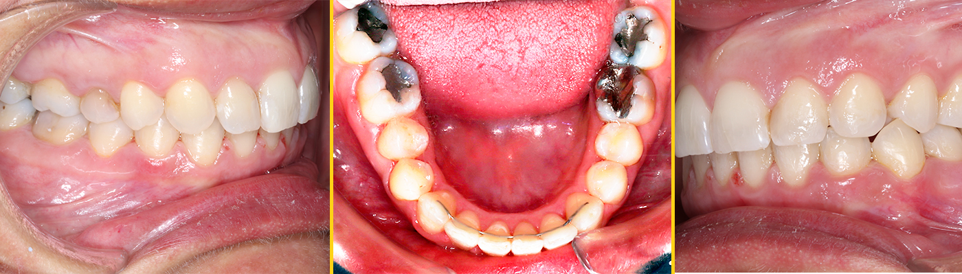
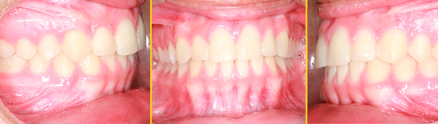
Caso J.A.A., 11 años
Caso: falta de espacio para ubicar los caninos, falta de entrecruzamiento dentario. Caso Corregido.
Caso F.A., 9 años femenino
Caso: Gran inclinación de los incisivos superiores, con aumento del resalte de 10mm. Tratamiento ortodóncico caso corregido.
Caso J.A., paciente adulto, 30 años
Caso: adulto 30 años, mordida invertida, solución ortodoncia y cirugía
Caso A.A., paciente 10 años, varón
Caso: Falta de espacios para ubicar las piezas dentarias definitivas, las líneas medias no coinciden, tratamiento ortodóncico. caso corregido.
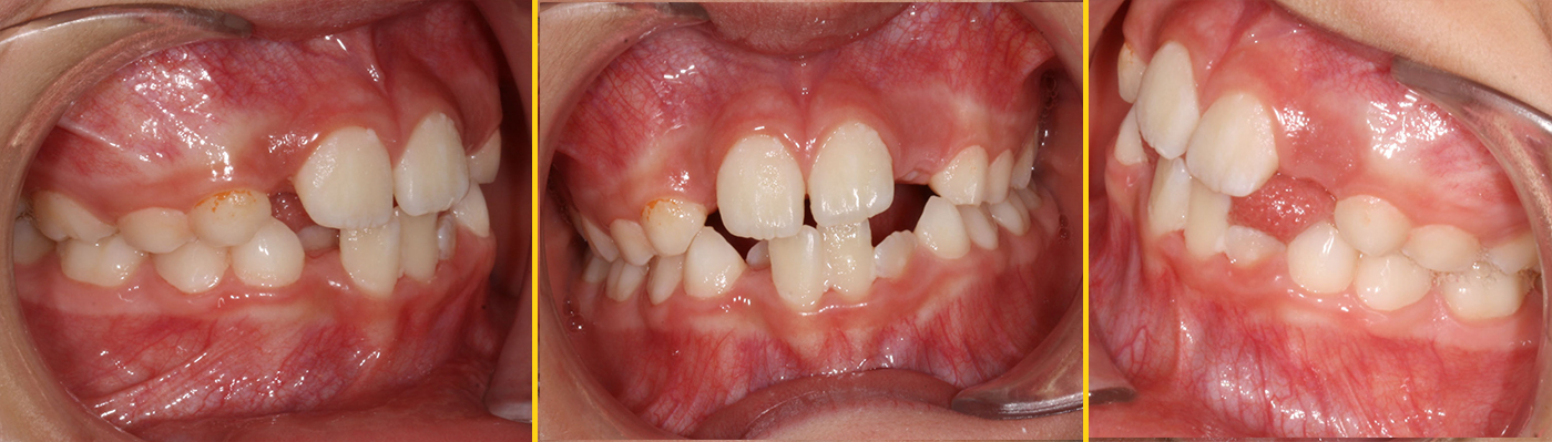
Caso M.G., 9 años, femenino
Caso: Paciente femenino de 9 años disyunción y ortodoncia, primera fase finalizada.
Caso V.P., 16 años, femenino
Caso: Asimetría esqueleto y facial, tratamiento odontológico quirúrgico.
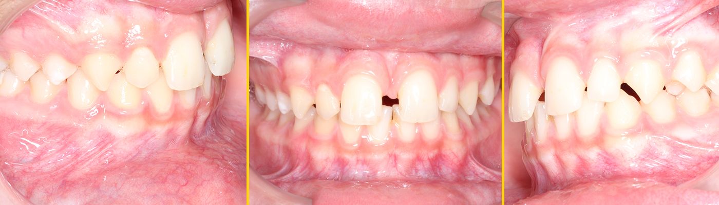
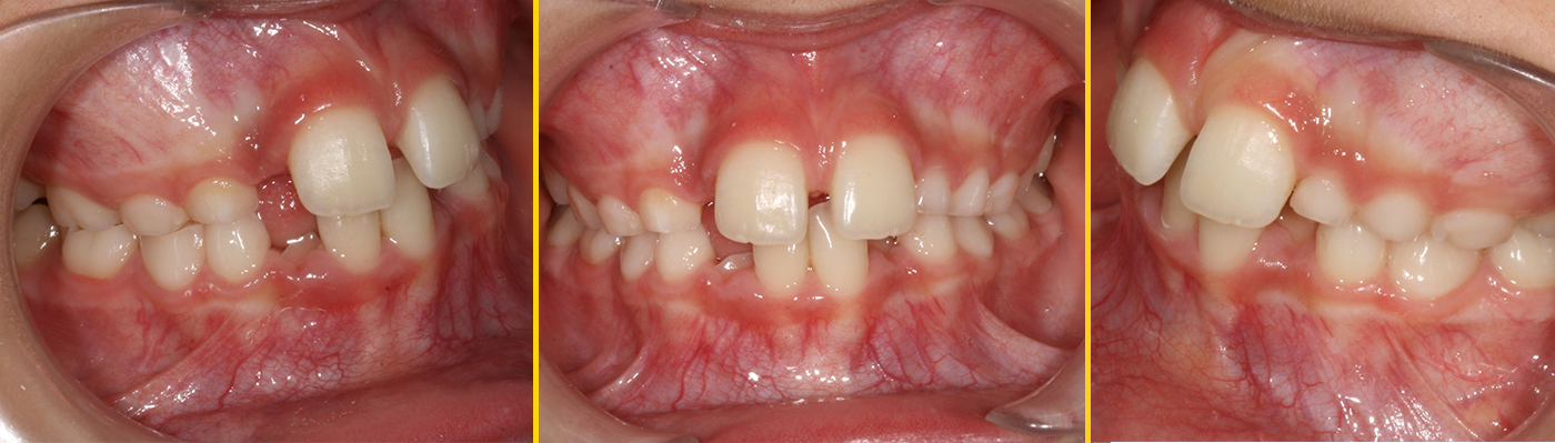
Caso M.L.R. paciente 15 años, masculino
Caso diastema genuino solucionado
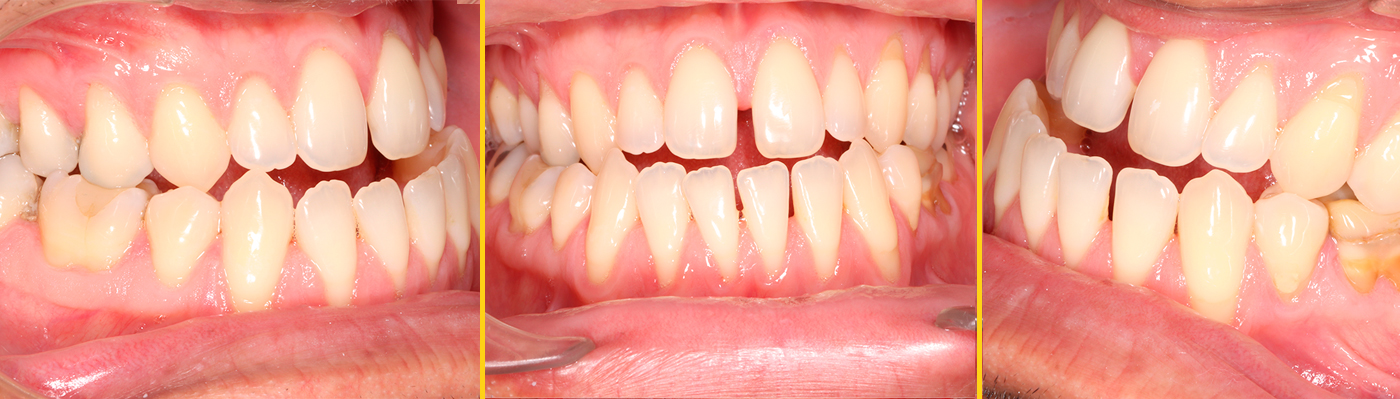
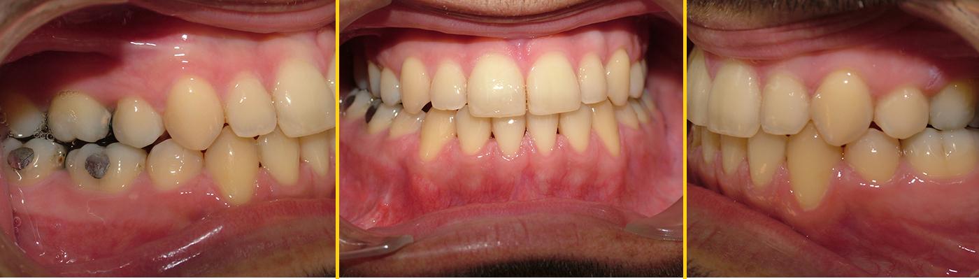
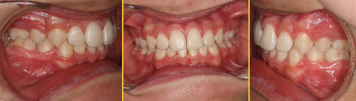
Caso A.G.C., Paciente 15 años, Masculino
A.G.C. Varón 15 años mordida cubierta con apiñamiento inferior severo.