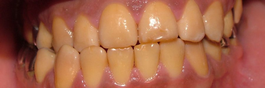
Caso Quirurgico

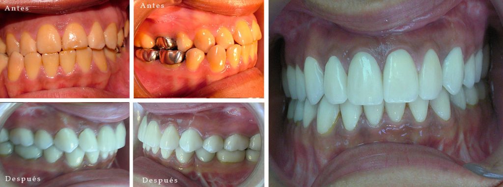
Caso Quirurgico

Paciente con progenie, asimetria esqueletal y piezas dentarias con falta de la capa de esmalte.Tratamiento: Ortodoncia, Cirugía y Rehabilitación. (V. Barra)