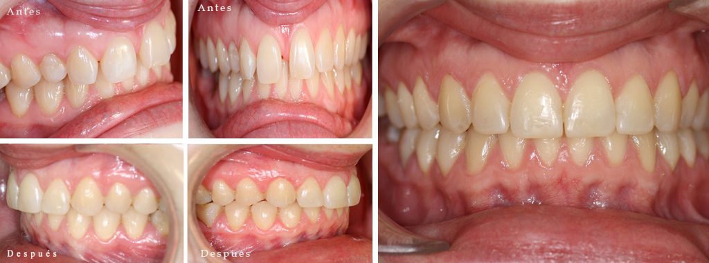
Paciente con incisivos superiores separados y canino retenido.Tratamiento realizado: Ortodoncia, tracción del canino retenido desde el paladar y rehabilitación de los centrales.
Paciente con incisivos superiores separados y canino retenido.Tratamiento realizado: Ortodoncia, tracción del canino retenido desde el paladar y rehabilitación de los centrales.