Clínica Ortodoncia
Menu
  • Inicio
  • Nosotros
  • Equipo
  • Tratamientos
  • Casos Clínicos
  • Testimonios
  • Contacto
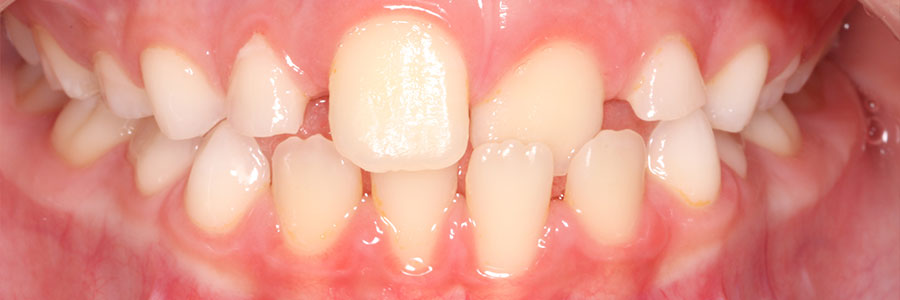
Caso inversión oclusal incisivo superior izquierdo

Caso inversión oclusal incisivo superior izquierdo

Ortodoncia interceptiva

Navegación de entradas

Paciente clase III con mordida invertida

Nosotros

Nuestra clínica con 30 años de experiencia en Ortodoncia y 15 años en Rehabilitación Oral y estética da solución a través de los tratamientos bien planificados y en forma integral a los requerimientos de nuestros pacientes. Nuestra trayectoria con mas de tres mil pacientes tratados avalan nuestro trabajo serio y responsable.

Horarios de Atención

Lunes a Viernes de 11:30 a 18:30

_______

Dirección: Cochrane 635-B of. 401 - Concepción.

Teléfonos: 412241816, +56 931887536

© 2026 Clínica Ortodoncia
WordPress Theme: AccessPress Parallax
Necesitas ayuda?