Clínica Ortodoncia
Menu
  • Inicio
  • Nosotros
  • Equipo
  • Tratamientos
  • Casos Clínicos
  • Testimonios
  • Contacto

Categoría: Ortodoncia interceptiva

Caso inversión oclusal incisivo superior izquierdo

Caso inversión oclusal incisivo superior izquierdo

Posted in Ortodoncia interceptiva
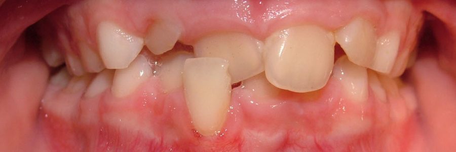
Paciente clase III con mordida invertida

Paciente clase III con mordida invertida

Posted in Ortodoncia interceptiva
Caso Ortodoncia Interceptiva primera fase

Caso Ortodoncia Interceptiva primera fase

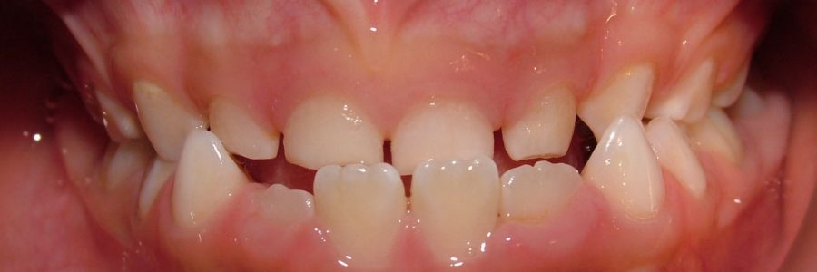
Paciente con rotación de incisivo.

Continue reading →

Posted in Casos Clínicos, Ortodoncia interceptiva Tagged dentarios, dentición, incisivos, paciente
Caso Ortodoncia Interceptiva en dentición mixta primera fase

Caso Ortodoncia Interceptiva en dentición mixta primera fase

Paciente con mordida invertida anterior.

Continue reading →

Posted in Casos Clínicos, Ortodoncia interceptiva Tagged invertida, mordida, tratamiento
Caso Ortodoncia Interceptiva primera fase

Caso Ortodoncia Interceptiva primera fase

Paciente con incisivo inclinado excesivamente hacia vestibular.

Continue reading →

Posted in Casos Clínicos, Ortodoncia interceptiva Tagged dentario, Ortodoncia, paciente

Nosotros

Nuestra clínica con 30 años de experiencia en Ortodoncia y 15 años en Rehabilitación Oral y estética da solución a través de los tratamientos bien planificados y en forma integral a los requerimientos de nuestros pacientes. Nuestra trayectoria con mas de tres mil pacientes tratados avalan nuestro trabajo serio y responsable.

Horarios de Atención

Lunes a Viernes de 11:30 a 18:30

_______

Dirección: Cochrane 635-B of. 401 - Concepción.

Teléfonos: 412241816, +56 931887536

© 2026 Clínica Ortodoncia
WordPress Theme: AccessPress Parallax
Necesitas ayuda?