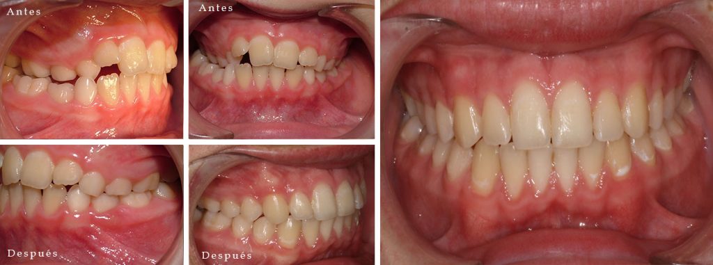
Caso Ortodoncia Simple Paciente con mordida cruzada y apiñamiento.Tratamiento ortodóncico: Corrección de la mordida cruzada sin extracciones.