Clínica Ortodoncia
Menu
  • Inicio
  • Nosotros
  • Equipo
  • Tratamientos
  • Casos Clínicos
  • Testimonios
  • Contacto

Etiqueta: paciente

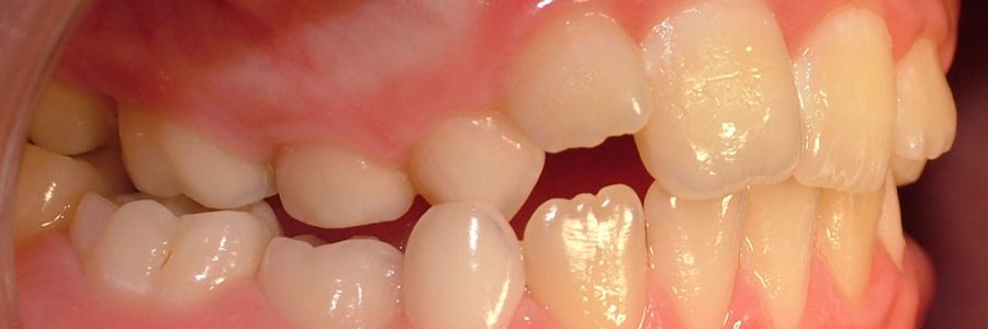
Caso Ortodoncia Interceptiva primera fase

Caso Ortodoncia Interceptiva primera fase

Paciente con rotación de incisivo.

Continue reading →

Posted in Casos Clínicos, Ortodoncia interceptiva Tagged dentarios, dentición, incisivos, paciente
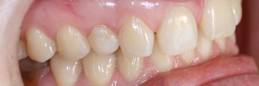
Caso con apiñamiento y falta de espacio

Caso con apiñamiento y falta de espacio

Paciente con apiñamiento y falta de espacio para ubicar todas las piezas dentarias.

Continue reading →

Posted in Casos Clínicos Tagged apiñamiento, arcos dentarios, dentarias, paciente, premolares, tratamiento
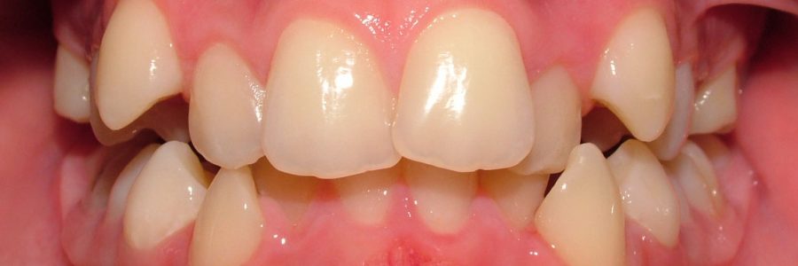
Caso Ortodoncia Interceptiva primera fase

Caso Ortodoncia Interceptiva primera fase

Paciente con incisivo inclinado excesivamente hacia vestibular.

Continue reading →

Posted in Casos Clínicos, Ortodoncia interceptiva Tagged dentario, Ortodoncia, paciente
Caso Ortodoncia Simple

Caso Ortodoncia Simple

Paciente con mordida cruzada y apiñamiento. Continue reading →

Posted in Casos Clínicos Tagged extracciones, Ortodoncia, paciente, tratamiento
Caso Ortodoncia con extracciones

Caso Ortodoncia con extracciones

Paciente con apiñamiento marcado de las piezas dentaria. Continue reading →

Posted in Casos Clínicos Tagged apiñamiento, paciente, tratamiento
Caso Ortodoncico

Caso Ortodoncico

Paciente con incisivos superiores separados y canino retenido. Continue reading →

Posted in Casos Clínicos, Ortodoncico Tagged ortodoncico, paciente, tratamiento

Paginación de entradas

1 2 Siguiente

Nosotros

Nuestra clínica con 30 años de experiencia en Ortodoncia y 15 años en Rehabilitación Oral y estética da solución a través de los tratamientos bien planificados y en forma integral a los requerimientos de nuestros pacientes. Nuestra trayectoria con mas de tres mil pacientes tratados avalan nuestro trabajo serio y responsable.

Horarios de Atención

Lunes a Viernes de 11:30 a 18:30

_______

Dirección: Cochrane 635-B of. 401 - Concepción.

Teléfonos: 412241816, +56 931887536

© 2026 Clínica Ortodoncia
WordPress Theme: AccessPress Parallax
Necesitas ayuda?