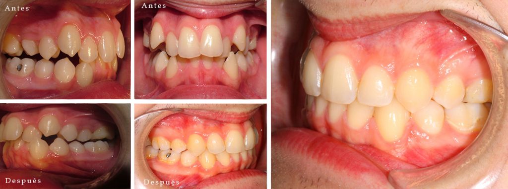
Caso Ortodoncia con extracciones Paciente con apiñamiento marcado de las piezas dentaria.Tratamiento: Ortodoncico con extracciones.