Clínica Ortodoncia
Menu
  • Inicio
  • Nosotros
  • Equipo
  • Tratamientos
  • Casos Clínicos
  • Testimonios
  • Contacto
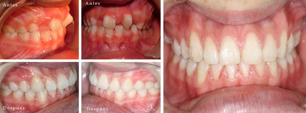
Caso Ortodoncia Interceptiva primera fase

Caso Ortodoncia Interceptiva primera fase

Paciente con rotación de incisivo.

Tratamiento: Primera fase se ordenaron los incisivos y segunda fase alineamiento de los arcos dentarios una vez que completó su dentición permanente.

Casos Clínicos, Ortodoncia interceptivadentarios, dentición, incisivos, paciente

Navegación de entradas

Caso con apiñamiento y falta de espacio
Paciente clase III con mordida invertida

Nosotros

Nuestra clínica con 30 años de experiencia en Ortodoncia y 15 años en Rehabilitación Oral y estética da solución a través de los tratamientos bien planificados y en forma integral a los requerimientos de nuestros pacientes. Nuestra trayectoria con mas de tres mil pacientes tratados avalan nuestro trabajo serio y responsable.

Horarios de Atención

Lunes a Viernes de 11:30 a 18:30

_______

Dirección: Cochrane 635-B of. 401 - Concepción.

Teléfonos: 412241816, +56 931887536

© 2026 Clínica Ortodoncia
WordPress Theme: AccessPress Parallax
Necesitas ayuda?