Clínica Ortodoncia
Menu
  • Inicio
  • Nosotros
  • Equipo
  • Tratamientos
  • Casos Clínicos
  • Testimonios
  • Contacto

Etiqueta: ortodoncico

Caso Ortodoncico Quirúrgico

Caso Ortodoncico Quirúrgico

Paciente con progenie y mordida cruzada izquierda con asimetría esqueletal y de arcos dentarios.

Continue reading →

Posted in Casos Clínicos Tagged ortodoncico, quirurgico, tratamiento
Caso Ortodoncico

Caso Ortodoncico

Paciente con incisivos superiores separados y canino retenido. Continue reading →

Posted in Casos Clínicos, Ortodoncico Tagged ortodoncico, paciente, tratamiento
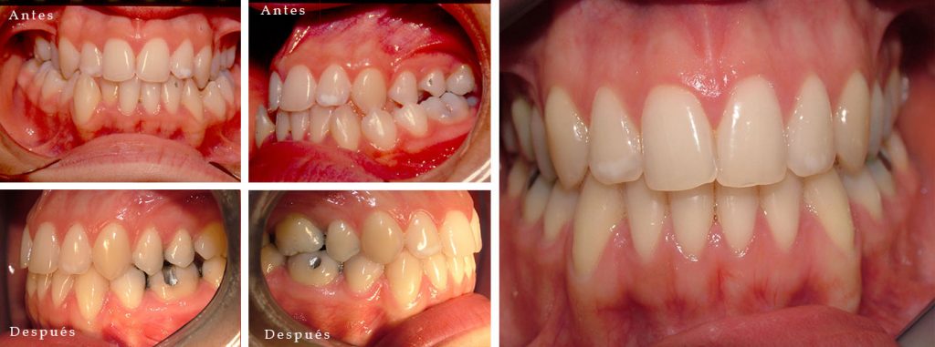
Caso Ortodoncico

Caso Ortodoncico

Paciente con un caso de apiñamiento con desviación línea media y falta de espacio para ubicar caninos.

Continue reading →

Posted in Casos Clínicos, Ortodoncico Tagged ortodoncico, paciente, tratamiento
Caso Ortodoncico

Caso Ortodoncico

Paciente compresión con apiñamiento desviación líneas medias.

Posted in Casos Clínicos, Ortodoncico Tagged ortodoncico, paciente, tratamiento

Nosotros

Nuestra clínica con 30 años de experiencia en Ortodoncia y 15 años en Rehabilitación Oral y estética da solución a través de los tratamientos bien planificados y en forma integral a los requerimientos de nuestros pacientes. Nuestra trayectoria con mas de tres mil pacientes tratados avalan nuestro trabajo serio y responsable.

Horarios de Atención

Lunes a Viernes de 11:30 a 18:30

_______

Dirección: Cochrane 635-B of. 401 - Concepción.

Teléfonos: 412241816, +56 931887536

© 2026 Clínica Ortodoncia
WordPress Theme: AccessPress Parallax
Necesitas ayuda?